I would like, if I may, to take you on a strange journey...
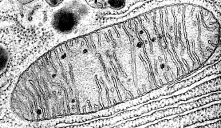
Have you ever wondered what is happening within every cell in our body? Did you know that there are approximately 10 million billion mitochondria in an adult human?
A new twitter account set up by a Case Medicine fellow is setting out to discover the back-story of every intermediate in the human metabolic network. With a staggering quadrillion of them, they may be some time.
Each 140 character tweet explores a different area, helping to break each one into a bite size nugget of information. Cleverly written, they also touch on topical issues such as the EU Referendum and Shakespeare's birthday.
Some of our favourites so far include:
- Appearance of Death Star cytochrome c in cytosol signals impending cell apocalypse, yet it has been spotted outside mito in certain cells...
- Foul-smelling putrescine, discovered in decomposing flesh, is actually a mysterious growth factor, generated from arginine in living cells.
- Aconitase or Iron Regulatory Protein 1? Clark Kent or Superman? It all depends on the iron...
To follow the mitochondria journey, visit the Mito Explorer twitter feed
Share this :




